CHE COSA sono i nei?
NEVI MELANOCITICI
Rappresentano delle proliferazioni benigne di melanociti
localizzate a vari livelli nello spessore della cute.
I nevi melanocitici sono
caratterizzati generalmente da diversi periodi di sviluppo: una iniziale fase
di lenta evoluzione seguita da una fase di stabilità e successiva fase di
involuzione parziale o completa.
A volte però possono presentare
modificazioni di colore e/o forma durante la fase dello sviluppo adolescenziale
o dopo intensa esposizione solare.
In base all’epoca di insorgenza si
possono dividere in:
Si ritiene che i nevi siano i
potenziali precursori del melanoma, ma il rischio di trasformazione è
bassissimo.
Referenza:
Tsao H, Bevona C, Goggins W, Quinn T. The transformation rate of moles
(melanocytic nevi) into cutaneous melanoma: a population-based estimate. Arch
Dermatol. 2003 Mar;139(3):282-8.) link articolo: https://pubmed.ncbi.nlm.nih.gov/12622618/
NEVO MELANOCITICO CONGENITO
Macchia cutanea pigmentata di colorito quasi
sempre bruno, presente alla nascita o entro i primi anni di vita. La superfice
può essere liscia o verrucosa. Frequente la forma moriforme e la presenza di
peli terminali.
I nevi melanocitici congeniti (CMN) sono
principalmente classificati in base alle dimensioni in piccoli, medi e larghi o
giganti.
NEVI CONGENITI PICCOLI
NEVI CONGENITI INTERMEDI
NEVO MELANOCITICO ACQUISITO
Il nevo melanocitico acquisito si
sviluppa nel corso della vita soprattutto durante l’adolescenza in soggetti che
hanno preso molto sole e si sono “scottati” durante l’infanzia.
Generalmente si presenta come una
macchia piana o leggermente rilevata al centro, simmetrica, dimensioni < 5
mm, di colorito omogeneo marrone chiaro o marrone scuro. In alcuni casi può
presentare due colori scuro al centro e chiaro in periferia, di dimensioni >
6 mm.
Lo stadio iniziale di un nevo
melanocitico piano può essere rappresentato dalla comune lentiggine, una piccola macchia pigmentata simmetrica, a bordi
regolari, di colore omogeneo marrone, con diametro inferiore a 3 mm.
Si
presenta in forma isolata o diffusa (specialmente in persone con pelle chiara
che hanno subito scottature solari).
WARNING: Fate attenzione al cambiamento rapido di colore e forma
di un neo
(Regola dell’ABCDE e Segno del “Brutto Anatroccolo”)
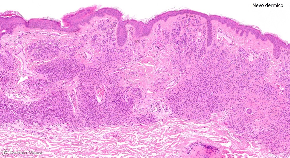
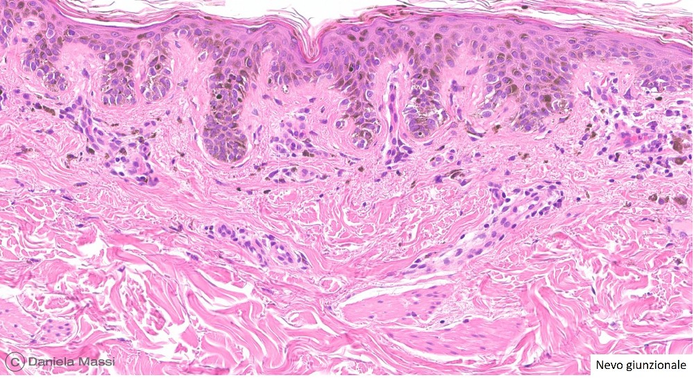
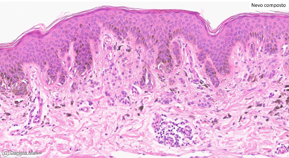
Come si vede un neo al microscopio ottico?
I nevi più comuni sono classificati istologicamente a seconda della loro prevalente localizzazione in relazione alla cute in:
CHE COSA È IL MELANOMA?
Il melanoma cutaneo è un tumore maligno aggressivo che deriva dalla trasformazione maligna dei melanociti della pelle apparentemente normale o di un neo preesistente.
Il melanoma cutaneo è un
tumore maligno aggressivo che deriva dalla trasformazione maligna dei melanociti
della pelle apparentemente normale o di un neo preesistente.
Generalmente si presenta come una
macchia a bordi irregolari di colore variabile dal nero al bruno con sfumature
rosa, distribuito in maniera disomogenea dove la formula dell’ABCDE o il segno del “Brutto Anatroccolo” sono di grande aiuto.)
Se non trattata, dopo mesi o anche
anni la macchia si solleva e compare un “rilievo” come una papula rossa o nera
o disomogenea che rappresenta l’evoluzione del melanoma.
COME APPARE E SI FORMA IL
MELANOMA?
LA VISIONE DEI NOSTRI RAGAZZI (V
B Scuola Istituto Superiore “ITIS NEGRELLI” di Feltre (BL) dal video prodotto
per il progetto IMI “Il Sole per amico”)
Che cosa sono i tumori?
Con i termini “cancro”,
“neoplasia” o il più generico “tumore” ci si riferisce ad un insieme molto
eterogeneo di malattie caratterizzate da una crescita cellulare svincolata dai normali meccanismi di controllo
dell’organismo, che sono in grado di interferire con l’organo e l’apparato in
cui risiedono, eventualmente anche migrando verso organi a distanza
(disseminazione o metastasi) fino a minacciare la vita dell’intero organismo.
Il processo di cancerogenesi è
generalmente un processo lento e progressivo, che di solito viene combattuto
con successo dai sistemi di difesa dell’organismo (meccanismi di riparazione
del genoma e di difesa immunitaria).
La medicina ha individuato terapie
e percorsi mirati alla specificità dei diversi casi.
Tali percorsi vanno dalla
prevenzione, alla diagnosi precoce, alla terapia, con lo scopo di migliorare la
prognosi di ogni paziente in termini di durata e qualità della vita.
In Europa sono stati stimati 2.7
milioni di nuovi casi di tumori maligni nel 2020 e bisogna enfatizzare che più
del 40 % dei tumori può essere evitato dalla prevenzione.
Per questo motivo bisogna
insegnare le misure di prevenzione in tutte le scuole. https://www.salute.gov.it/portale/news/....
QUANTE SONO LE MODALITÀ DI PRESENTAZIONE DEL MELANOMA?
Forme cliniche:
Le varianti di melanoma sono numerose.
Per semplificare le distinguiamo in base alle modalità di presentazione ovvero alla morfologia:
Melanoma piano (superficiale o sottile)
Rappresenta la forma più
frequente. Ha una crescita prevalentemente radiale di durata variabile, da
pochi mesi a qualche anno, che permette una diagnosi precoce. Si presenta come
una macchia a bordi irregolari di colore variabile dal nero al bruno con
sfumature rosa, distribuito in maniera disomogenea.
Melanoma cupoliforme (nodulare)
Appare come una “sorta di piccolo
rilievo” che solleva la cute, si sviluppa più rapidamente in profondità
(crescita verticale) rendendo più difficile la diagnosi precoce.
Si presenta come un elemento rilevato ovvero una papula (< 1 cm) o un
nodulo (> 1 cm) rilevato sul piano cutaneo, a superficie liscia, di colore
bruno-nerastro, nero-bluastro o anche rosato/rosso, che si ulcera di frequente.
Il pigmento scuro o nero può essere distribuito in modo irregolare, essere
presente solo sul bordo o essere del tutto assente.
Melanoma piano-cupoliforme
Frequentemente nel contesto di un
melanoma superficiale insorge un elemento rilevato papuloso o nodulare, nero o
rosso (acromico), anche dopo anni dalla comparsa della lesione primitiva non
trattata.
Come cresce un melanoma visto al microscopio?
Leggi: Linee Guida SIAPEC-IAP 2022. Diagnosi istopatologica e molecolare delle lesioni melanocitarie. Link: https://snlg.iss.it/wp-content/...